Partial Knee Replacement in Ahmedabad
Relieving Pain. Restoring Movement
Precise. Minimal. Effective.
Understanding Partial Knee Replacement
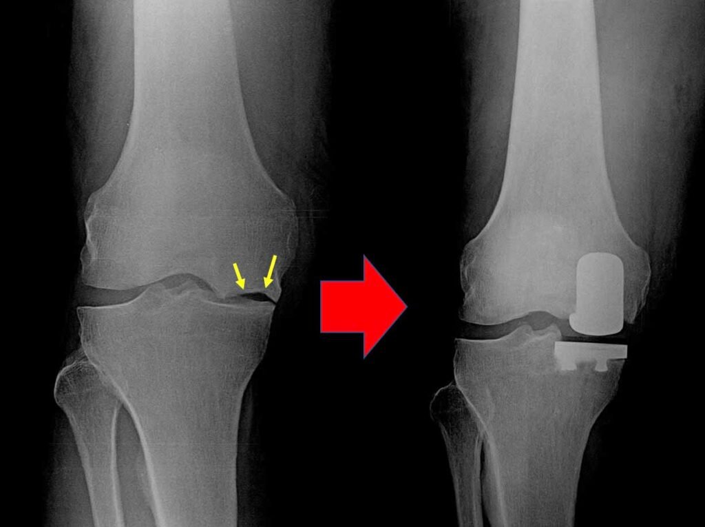
Partial Knee Replacement in Ahmedabad (also known as unicompartmental knee arthroplasty) is a surgical procedure where only the damaged portion of the knee joint is replaced with a prosthetic implant. This allows the healthy parts of the knee, including the ligaments and surrounding bone, to remain untouched, preserving more of your natural joint structure and movement.
Unlike a Total Knee Replacement, this procedure targets specific damage caused by localized arthritis or injury, making it less invasive and offering a quicker recovery with a more natural knee feel.
Only the damaged knee compartment is resurfaced
Preserves healthy bone, tissue, and ligaments
When is Partial Knee Replacement Recommended?
Dr. Krunal Soni may recommend Partial Knee Replacement if you’re experiencing:
Pain in One Area of Knee
If arthritis affects only the inner, outer, or front part of the knee while the rest remains healthy, partial replacement is ideal.
Conditions Treated with
Partial Knee Replacement
Each of the following conditions can be managed through this minimally invasive technique:
Unicompartmental Osteoarthritis
Degeneration limited to one part of the knee joint, most commonly the medial (inner) side.
Â
Avascular Necrosis (localized)
When blood supply loss leads to damage in a small portion of the joint.
Â
Post-traumatic joint damage
Old injuries that caused cartilage wear in one compartment may be managed with partial replacement.
Benefits of Partial Knee Replacement Treatment
Smaller incision and faster recovery
The surgery is performed through a smaller cut, resulting in less tissue damage and a quicker healing process.
Better range of motion
With natural ligaments intact, patients often experience improved flexibility and more natural joint movement post-surgery.
Less pain and Scarring
Targeting only the affected part of the knee reduces postoperative pain and results in minimal scarring.
Lower risk of complications
Preserving bone and tissue helps reduce the risk of blood clots and infections compared to full replacement.
A Clear Look
At Your Surgical Journey
Precision at every stage of your care.
Initial Consultation
A detailed assessment of your joint condition, medical history, lifestyle, and goals to personalize your treatment plan.
Pre-Operative Planning
Diagnostic imaging (X-ray/MRI) and blood tests are conducted to ensure precise surgical mapping and safety clearance.
Patient Education and Counselling
You’ll be guided through the procedure, risks, recovery expectations, and rehab process so you're fully informed and confident.
Surgery day
Dr. Krunal Soni performs your procedure with precision, using advanced techniques to minimize tissue trauma and maximize outcomes.
Post Operative Monitoring
Immediate care includes pain management, wound care, and early movement under supervision for safe recovery.
Dr. Krunal Soni's Patient First Approach
Dr. Krunal Soni believes that the best orthopedic outcomes come from truly understanding his patients – not just their diagnosis, but their goals, concerns, and lifestyle. With over two decades of experience, his approach blends advanced surgical techniques with a deeply personal commitment to patient well-being.
- Beyond the operating room, Dr. Soni prioritizes communication, trust, and patient education. From your first consultation to your final rehab session, you’ll experience attentive care, transparent guidance, and a strong partnership because healing isn’t just about surgery, it’s about the journey back to movement, confidence, and quality of life.
Frequently Asked Questions
Partial knee replacement is a surgery where only the damaged part of the knee is replaced with an artificial implant. It helps preserve healthy bone and tissue for better joint function.
It is recommended when damage is limited to one part of the knee joint. Patients with early or localized arthritis are usually good candidates for this procedure.
Partial knee replacement treats only one damaged section of the knee, while total knee replacement replaces the entire joint. Partial surgery usually has faster recovery and less pain.
Recovery is generally faster compared to total knee replacement. Most patients can resume normal activities within a few weeks with proper physiotherapy.
Yes, it is a safe and commonly performed procedure when done by an experienced surgeon. It has a high success rate with reduced surgical impact on the knee.
Yes, physiotherapy is very important after surgery. It helps improve movement, strengthen muscles, and speed up recovery.
It offers less pain, quicker recovery, smaller incision, and better preservation of natural knee structure. Patients often feel more natural movement after recovery.
Patients with severe arthritis in multiple knee compartments or major deformities may not be suitable. In such cases, total knee replacement is usually recommended.